Tóm tắt:

Bệnh nha chu là một trong những nguyên nhân chính gây mất răng và là bệnh răng miệng phổ biến thứ hai sau sâu răng. Bệnh nhân mắc các bệnh tự miễn, như bệnh Hashimoto, thường dễ bị nhiễm trùng hơn. Trong nhóm bệnh nhân nghiên cứu, mặc dù không có dấu hiệu viêm nướu khác, tình trạng chảy máu vẫn xảy ra khi đánh răng hoặc sau chấn thương nhẹ.

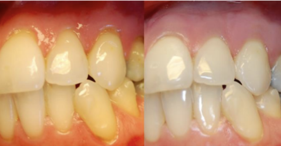
Chảy máu khi thăm khám (bleeding on probing – BOP) là dấu hiệu khách quan đầu tiên của tình trạng viêm đang diễn ra. Nghiên cứu này được thực hiện trên 17 bệnh nhân mắc bệnh Hashimoto. Atelocollagen Linerase (100 mg) được pha loãng với 5 mL dung dịch NaCl 0,9% và tiêm vào vùng nướu sừng hóa, cách đáy nhú nướu 2 mm, với liều lượng 0,05 mL mỗi điểm tiêm. Quá trình tiêm được thực hiện bốn lần, mỗi lần cách nhau hai tuần.

Số điểm chảy máu giảm rõ rệt nhất sau lần tiêm atelocollagen đầu tiên và thứ hai. Sau lần tiêm thứ ba và thứ tư, chỉ số BOP tiếp tục giảm nhưng tốc độ giảm chậm hơn. Việc sử dụng atelocollagen giúp loại bỏ triệu chứng chảy máu trong nhóm nghiên cứu.

1. Giới thiệu

Bệnh nha chu là một vấn đề sức khỏe nghiêm trọng trên toàn cầu, ảnh hưởng đến sức khỏe tổng thể. Đây là một bệnh viêm do vi khuẩn mảng bám răng và các sản phẩm chuyển hóa của chúng gây ra.

Hầu hết bệnh nhân mắc các bệnh tự miễn, như Hashimoto, dễ bị nhiễm trùng hơn. Quá trình viêm đóng vai trò quan trọng trong bệnh sinh của nhiều bệnh tự miễn, trong khi hệ thống miễn dịch đóng vai trò quan trọng trong việc duy trì sự ổn định của mô nha chu.

Nhiều nghiên cứu chỉ ra rằng các bệnh tự miễn có thể góp phần vào sự phá hủy mô nha chu.

Ở trạng thái khỏe mạnh, nướu có độ chắc, bám chặt vào răng hoặc xương ổ răng bên dưới, có màu hồng, không phù nề, không chảy máu hay viêm. Mô học cho thấy nướu bao gồm biểu mô và mô liên kết, được ngăn cách bởi màng đáy. Biểu mô nướu bao phủ lớp mô liên kết bên dưới và chủ yếu có cấu trúc tế bào. Về mặt siêu cấu trúc, biểu mô được phân thành ba loại: biểu mô miệng, biểu mô khe nướu và biểu mô tiếp nối. Biểu mô tiếp nối tạo ra sự gắn kết của nướu với bề mặt răng và đóng vai trò then chốt trong việc duy trì nha chu khỏe mạnh.

Lớp mô liên kết phía dưới (lamina propria) bao gồm nguyên bào sợi và các tế bào khác như dưỡng bào, đại thực bào, tế bào trung mô chưa biệt hóa, bạch cầu trung tính và tương bào, cùng với các sợi, dây thần kinh và mạch máu.

Hệ thống mạch máu ở mô nha chu rất phong phú và có cấu trúc phức tạp. Ước tính có đến 29,1% mạch máu trong nướu là “ẩn” về mặt mô học và không hoạt động ở trạng thái khỏe mạnh. Các mao mạch ngủ này sẽ hoạt động khi có viêm. Mạch máu được cung cấp từ ba nguồn: vách răng kẽ, dây chằng nha chu và niêm mạc miệng. Khi không có viêm, kiến trúc mạch máu được bố trí theo lớp và có trật tự.

Nướu có hai hệ mao mạch tận: hệ ngoài nằm dưới nướu bờ và biểu mô miệng, gồm các vòng lặp mao mạch kiểu chân tóc giữa các nhú biểu mô; hệ trong nằm dưới biểu mô tiếp nối, gồm các mao mạch dạng đám rối chạy song song với men răng từ đáy khe nướu đến rìa nướu.

Do đặc điểm giàu mạch máu, chảy máu nướu là một trong những dấu hiệu thị giác đầu tiên của bệnh nha chu, xuất hiện trước cả đổi màu hoặc sưng. Trong số nhiều chỉ dấu được sử dụng để mô tả tiến triển bệnh, chảy máu là chỉ số khách quan và dễ đánh giá. Mühleman và cộng sự là những người đầu tiên phát triển chỉ số dựa trên triệu chứng chảy máu duy nhất. Phép đo thường dùng là chọc dò bằng đầu dò nha chu. Chảy máu khi chọc dò (BOP) là một dấu hiệu khách quan của viêm và cung cấp thông tin về mức độ viêm. BOP được tính bằng số điểm chảy máu chia cho tổng số điểm thăm dò, nhân 100%.

Phá hủy mô liên kết bắt đầu sau 3–4 ngày tích tụ mảng bám. Trong vùng viêm, có thể mất đến 70% collagen, đồng thời collagen type V tăng lên. Mức độ mất collagen là chỉ số chính của tiến triển bệnh. Collagen là thành phần thiết yếu của mô liên kết và góp phần thúc đẩy quá trình lành thương. Việc bổ sung collagen ngoại sinh bằng tiêm giúp tái tạo mô tại chỗ. Collagen có thể có nguồn gốc từ động vật, người, hoặc được tổng hợp tái tổ hợp. Có hai phương pháp chính để chiết xuất collagen từ mô động vật: tiêu hóa bằng pepsin hoặc hoà tan trong acid. Kết quả là tạo ra hai dạng: atelocollagen và tropocollagen. Trong thương mại, atelocollagen được ưu tiên vì có tính kháng nguyên thấp hơn do đã loại bỏ đoạn telopeptide.

Mục tiêu nghiên cứu: đánh giá thay đổi chỉ số chảy máu nướu (BOP) sau khi tiêm atelocollagen type I từ ngựa ở bệnh nhân mắc bệnh Hashimoto.

2. Vật liệu và Phương pháp

2.1. Vật liệu

Nghiên cứu sử dụng vật liệu collagen Linerase – một thiết bị y tế loại III (CE 0477 EPT 0477.MDD.21/4439 EPT 0477.MDD.22/GP0047) dưới dạng bột collagen type I từ ngựa đã được đông khô. Collagen từ ngựa có cấu trúc lỏng lẻo và dạng vi hạt, vì vậy được xem là an toàn nhất trong nhóm collagen từ động vật.

2.2. Thiết kế nghiên cứu

Nghiên cứu được thực hiện trên 17 bệnh nhân nam và nữ (14 nữ, 3 nam) được chẩn đoán mắc bệnh Hashimoto. Tất cả bệnh nhân đều có vệ sinh răng miệng tốt và không có triệu chứng viêm nướu khác, nhưng lại than phiền về hiện tượng chảy máu nướu sau các chấn thương nhỏ như đánh răng.

Độ tuổi của nhóm nghiên cứu dao động từ 32 đến 60. Có 3 bệnh nhân có thêm bệnh lý toàn thân khác: 2 bị tăng huyết áp và 1 bị hen suyễn. Chỉ số chảy máu khi thăm dò (BOP) được đo cho từng bệnh nhân trước tiêm để đánh giá tình trạng nướu. Các lần đo tiếp theo được thực hiện trước mỗi lần tiêm tiếp theo.

Trong tất cả các trường hợp, sử dụng Linerase 100 mg pha với 5 ml NaCl 0.9%. Tiêm 0.05 ml dung dịch vào nướu sừng hóa, cách đáy nhú nướu 2 mm. Tiêm 4 lần, mỗi lần cách nhau 2 tuần. Khoảng cách giữa các điểm tiêm khoảng 10 mm. Chảy máu được kiểm tra ở 4 bề mặt mỗi răng. BOP được tính bằng cách chia số điểm chảy máu cho tổng số điểm đo, sau đó nhân với 100%.

Nghiên cứu được thông qua bởi Hội đồng Đạo đức Y Sinh, số hiệu nghị quyết 150/17.

Chỉ số BOP Tình trạng nướu
<10% Nướu khỏe mạnh
10–30% Viêm nướu khu trú
>30% Viêm nướu lan tỏa

3. Kết quả

Trong lần thăm khám đầu tiên (visit 0), các giá trị BOP dao động từ 37% đến 75%. Sau mỗi lần tiêm, các giá trị BOP được ghi nhận giảm rõ rệt:

Lần đo (Visit) BOP cao nhất BOP trung bình BOP thấp nhất
0 75% 51% 37%
1 46% 24% 13%
2 18% 9% 5%
3 9% 5% 2%
4 7% 3% 0%

Biểu đồ cho thấy sự giảm mạnh số điểm chảy máu sau lần tiêm đầu tiên và thứ hai. Sau lần tiêm thứ ba và thứ tư, mức giảm tiếp tục nhưng chậm hơn. Tình trạng lâm sàng ổn định rõ rệt.

Sau lần tiêm đầu tiên, chỉ số BOP giảm trung bình 54% so với ban đầu. Sau lần tiêm thứ tư, chỉ số giảm đến 95% so với ban đầu.

Trường hợp nổi bật nhất là bệnh nhân có BOP ban đầu 75%, giảm xuống 7% sau hai lần tiêm đầu tiên và tiếp tục giảm sau các lần tiêm tiếp theo.

Chỉ có một bệnh nhân ghi nhận tăng nhẹ chỉ số BOP sau lần tiêm cuối, do nhập viện (không liên quan đến bệnh Hashimoto) và bỏ bê vệ sinh răng miệng. Sau 6 tuần, BOP tăng nhẹ từ 9% lên 11%.

Hai bệnh nhân bị giảm số điểm kiểm tra do phải nhổ răng trong thời gian nghiên cứu.

Khi so sánh với nhóm người khỏe mạnh không mắc Hashimoto có thói quen vệ sinh răng miệng tương tự, sự khác biệt đáng chú ý là họ không bị chảy máu khi đánh răng và chỉ số BOP dao động 0–5%.

4. Thảo luận

Bệnh Hashimoto là một rối loạn tự miễn, trong đó hệ miễn dịch tấn công các tế bào của chính cơ thể – cụ thể là tuyến giáp – gây suy giáp nguyên phát và hàng loạt rối loạn sức khỏe khác. Hashimoto còn được coi là một trong những nguyên nhân góp phần gây viêm nha chu. Nhiều nghiên cứu đã liên kết viêm nha chu và bệnh tự miễn thông qua quá trình viêm mạn tính và stress oxy hóa.

Ở bệnh nhân suy giáp, còn ghi nhận các biểu hiện khác trong khoang miệng, như khô miệng (gây tích tụ mảng bám và gián tiếp dẫn đến viêm nướu), lưỡi to, viêm lưỡi, thay đổi vị giác. Các vết loét miệng kéo dài cũng thường thấy. Một số nghiên cứu cho thấy lichen phẳng miệng cũng có thể đi kèm bệnh Hashimoto. Tuy nhiên, không có bệnh nhân nào trong nghiên cứu này có các biểu hiện đó.

Khái niệm phân giai đoạn (staging) trong chẩn đoán nha chu toàn miệng được trình bày tại Hội thảo Quốc tế 2017 về phân loại bệnh nha chu và bệnh quanh implant, nhằm cung cấp cái nhìn đa chiều về viêm nha chu và nhu cầu phục hồi nha khoa của từng bệnh nhân. Theo phân loại mới, bệnh nha chu được chia thành ba nhóm: nướu khỏe mạnh và bệnh viêm nướu, viêm nha chu, và các tình trạng khác ảnh hưởng đến mô quanh răng. Chảy máu khi thăm dò vẫn được xem là chỉ số cơ bản để chẩn đoán viêm nướu.

Tình trạng viêm ở mô nha chu tiến triển theo từng giai đoạn:

  • Tổn thương khởi đầu: chưa có biểu hiện lâm sàng, nhưng mô học cho thấy biểu mô tiếp nối tiết cytokine, kích thích bạch cầu trung tính tiết neuropeptide gây giãn mạch và tăng tính thấm mạch.
  • Tổn thương sớm: có biểu hiện viêm như chảy máu, phù nề, rãnh nướu sâu; có thể tồn tại dai dẳng hoặc tiến triển.
  • Tổn thương đã thiết lập: các tế bào chủ yếu là đại thực bào, tương bào, lympho T và B. Bạch cầu trung tính tiết ra MMP-8 (collagenase) và MMP-9 (gelatinase B), phá hủy bó sợi collagen → gây loét biểu mô và chảy máu khi thăm dò.
  • Tổn thương tiến triển: chuyển sang viêm nha chu.

Ở giai đoạn sớm, mất collagen đầu tiên xảy ra quanh mạch máu. Quá trình phân hủy do vi khuẩn, MMPs và tế bào tại chỗ. Nhiều bằng chứng cho thấy mầm bệnh nha chu kích thích sản xuất cytokine → thúc đẩy phân giải chất nền qua MMPs. MMPs được sản xuất bởi tế bào viêm và tế bào tại chỗ, tiết ra dưới dạng tiền chất không hoạt động và được kích hoạt bởi nhiều protein, đặc biệt là plasmin từ plasminogen. Khi cầm máu, plasminogen bị ức chế, từ đó hạn chế hoạt hóa MMPs.

Mô viêm cho thấy các mạch máu giãn, sợi collagen rối loạn và thâm nhiễm tế bào viêm. Ở giai đoạn nặng hơn, có thay đổi mô học và cấu trúc sợi collagen bất thường. Biểu hiện collagen type I giảm rõ so với mô khỏe mạnh. Nghiên cứu in vitro trước đây cho thấy atelocollagen làm tăng số lượng tế bào sống sau 48–72 giờ, thông qua ức chế quá trình chết tế bào của nguyên bào sợi.

Collagen là thành phần chính trong mô nướu, giữ vai trò duy trì cấu trúc ngoại bào, sửa chữa và lành mô. Cấu trúc xoắn ba đặc trưng gồm ba chuỗi α với trình tự Gly-X-Y (X thường là proline, Y thường là hydroxyproline), trong đó glycine mỗi ba vị trí là điều kiện bắt buộc để gấp xoắn chặt. Hiện đã biết 42 gen mã hóa cho 28 loại collagen khác nhau.

Trong nha khoa, collagen được sử dụng để cầm máu, chữa lành mô và tái tạo. Các loại collagen chính trong nướu: I, III, IV, V và VII:

  • Type I: chiếm 70–95%, có cấu trúc bó sợi song song, dày và bền
  • Type III: dạng lưới mảnh, chủ yếu ở lamina propria và màng đáy
  • Type V: bao quanh các sợi type I và III, tăng tính liên kết
  • Type IV: mạng ba chiều ở màng đáy
  • Type VII: neo giữ biểu mô vào mô liên kết bên dưới

Ngoài chức năng cơ học, collagen còn lưu trữ và giải phóng yếu tố tăng trưởng. Collagen liên kết IGF-I, IGF-II, gián tiếp ức chế TGF-β qua decorin. Collagen ngoại sinh dễ bị phân giải hơn collagen nội sinh. Tiêm atelocollagen có thể ức chế sự phá huỷ collagen nội sinh bằng cách:

  • Ngăn plasminogen → hạn chế hoạt hoá MMPs
  • Bảo vệ TGF-β → kích hoạt gen mã hóa collagen
  • Thúc đẩy biểu mô hóa và hình thành mô hạt nhờ mảnh collagen bị phân giải

Collagen ít gây phản ứng miễn dịch. Tính kháng nguyên chủ yếu do chuỗi amino acid ở đầu tận cùng. Trong nha chu, các phương pháp thẩm mỹ mới như PRP/PRF được áp dụng, nhưng bệnh tuyến giáp làm giảm chức năng tiểu cầu nên không hiệu quả. Trong khi đó, tiêm atelocollagen lại an toàn và hiệu quả hơn ở nhóm này.

5. Kết luận

Vì bệnh nha chu rất phổ biến, việc đo xu hướng chảy máu nên trở thành bước kiểm tra tiêu chuẩn trong khám miệng để nhận diện khu vực nguy cơ và lập kế hoạch điều trị phù hợp.

Hiện nay, điều trị nha chu bao gồm cả phẫu thuật và hướng đến phục hồi chức năng – cấu trúc mô. Atelocollagen tiêm đã được sử dụng trong y học thẩm mỹ để cải thiện độ săn chắc, độ dày và độ căng của da.

Từ nghiên cứu lâm sàng này, chúng tôi kết luận rằng tiêm atelocollagen cải thiện cấu trúc nướu – đặc biệt vùng quanh mạch máu. Bệnh nhân Hashimoto dù có xu hướng lành thương chậm vẫn cải thiện rõ sau tiêm. Giảm chảy máu được quan sát sau 2 tuần tiêm đầu và tiếp tục giảm dần. Ngoài ra, các bệnh nhân nhạy cảm nặng cũng được cải thiện đau và quá cảm nhờ nướu dày lên và cao hơn.

Tuy nhiên, atelocollagen không thể thay thế vệ sinh răng miệng và các thủ thuật như cạo vôi/chỉnh nha.

Cần có thêm các nghiên cứu lâm sàng và xét nghiệm để hiểu rõ cơ chế hoạt động của atelocollagen trong điều trị nướu.

Select the fields to be shown. Others will be hidden. Drag and drop to rearrange the order.
  • Image
  • SKU
  • Rating
  • Price
  • Stock
  • Availability
  • Add to cart
  • Description
  • Content
  • Weight
  • Dimensions
  • Additional information
Click outside to hide the comparison bar
Compare