Điều trị mô nha chu người

Tác giả: Marzena Wyganowska-Świątkowska, Anna Duda-Sobczak, Andrea Corbo, Teresa Matthews-Brzozowska
Tạp chí: Life, 2020, 10, 114
DOI: 10.3390/life10070114

Tóm tắt

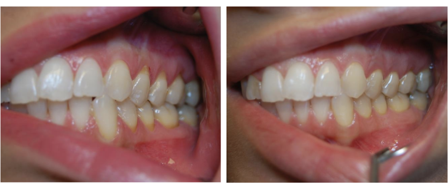
Bối cảnh: Mục tiêu của nghiên cứu này là quan sát lâm sàng tình trạng mô nướu sau khi tiêm atelocollagen.

Phương pháp: Ở 18 bệnh nhân, 97 vị trí tụt nướu Miller độ I được phân loại theo chiều cao tụt nướu, mức độ mất nhú nướu và độ dày mô nướu. Atelocollagen (Linerase, 100 mg) được tiêm vào nướu sừng hóa 2 hoặc 3 lần, cách nhau 2 tuần.

Kết quả: Ghi nhận thay đổi có ý nghĩa thống kê ở chiều cao tụt nướu, mức độ mất nhú nướu và độ dày mô nướu sau cả 2 và 3 lần tiêm. Mặc dù tụt nướu giảm và mô nướu dày lên sau mỗi lần tiêm, nhưng không có sự khác biệt đáng kể về mức mất nhú giữa lần tiêm thứ hai và thứ ba.

Kết luận: Atelocollagen dạng tiêm là vật liệu tiềm năng trong tái tạo và kích thích mô mềm nướu, đồng thời giúp giảm số lượng can thiệp cần thiết. Đây là nghiên cứu đầu tiên đánh giá tác động của atelocollagen dạng tiêm lên mô nha chu.

1. Giới thiệu

Thiếu hụt collagen là dấu hiệu điển hình của lão hóa da, khiến collagen trở thành hoạt chất sinh học rất được quan tâm. Trong nha khoa, mất mô nâng đỡ răng ảnh hưởng lớn đến thẩm mỹ và chất lượng sống. Tụt nướu là vấn đề phổ biến, do mảng bám, chải răng sai cách, bệnh nha chu và chỉnh nha.

Mô liên kết nướu gồm:

  • 5% nguyên bào sợi
  • Các tế bào khác: dưỡng bào, đại thực bào, bạch cầu đa nhân trung tính, lympho bào, tương bào
  • Chất nền: glycosaminoglycans (HA, dermatan sulfate, heparan sulfate), proteoglycans, glycoproteins, sợi reticulin, sợi collagen, oxytalan, và sợi đàn hồi.

Sợi collagen chiếm 65% thể tích mô liên kết nướu, giữ vai trò thiết yếu trong cấu trúc mô khỏe mạnh và là chỉ dấu chính của bệnh nha chu.

Collagen type I chiếm ưu thế sau sinh, thay thế dần type III (gọi là “collagen bào thai”). Type III ở lớp nông, type I ở lớp sâu. Collagen có thể chiết xuất từ động vật, người hoặc tái tổ hợp. Có hai phương pháp chiết: thủy phân bằng pepsin (tạo atelocollagen) và hoà tan trong acid (tạo tropocollagen). Atelocollagen ít kháng nguyên hơn, được dùng rộng rãi và an toàn.

Collagen có nhiều dạng: lỏng, gel, màng, hạt – phù hợp trong tái tạo mô, da, nướu, xương, mạch máu nhân tạo… Dạng tiêm dưới da hiện có thể dùng như một chất kích thích mô liên kết, không chỉ trong da liễu mà cả trong niêm mạc miệng.

2. Phương pháp

2.1. Thiết kế và đối tượng nghiên cứu

  • Thực hiện tại Đại học Y Poznan, 2016–2017, được phê duyệt bởi Hội đồng Đạo đức (UMP 919/16).
  • 18 bệnh nhân (2 nam, 16 nữ, tuổi 40–55), tổng cộng 97 vị trí tụt nướu Miller độ I (không vượt quá ranh giới niêm mạc–nướu).
  • Tiêu chí loại trừ: viêm nướu, bệnh nha chu tiến triển, bệnh toàn thân, tổn thương không do sâu răng.

Đo lường:

  • Chiều cao tụt nướu (từ CEJ đến rìa nướu)
  • Mất nhú nướu (từ điểm tiếp xúc đến đỉnh nhú)
  • Độ dày mô nướu (đo bằng thước cặp điện tử tại điểm tiêm)

Liệu trình:

  • Atelocollagen (100 mg) pha với 4.5 mL NaCl 0.9% + 0.5 mL lidocain 2%
  • Tiêm vào nướu sừng hóa, cách chân nhú 2 mm
  • 3 lần tiêm, cách nhau 2 tuần
  • Khoảng cách giữa các điểm tiêm >10 mm

2.2. Phân tích thống kê

  • Dùng phần mềm STATISTICA V12.5
  • Kiểm định Shapiro–Wilk
  • Dữ liệu không phân phối chuẩn → dùng kiểm định Wilcoxon signed-rank
  • Giá trị p < 0.05 được coi là có ý nghĩa thống kê

3. Kết quả

Sau 2 lần tiêm (n = 97):

Biến số Trước tiêm Sau 2 lần tiêm p-value
Chiều cao tụt nướu 1.0 (0.5–2) 0.0 (0–0.5) <0.000001
Mất nhú nướu 1.0 (0.5–1.5) 0.0 (0–0.5) <0.000001
Độ dày mô nướu 0.3 (0.1–0.5) 0.6 (0.3–0.8) <0.000001

Sau 3 lần tiêm (n = 37):

Biến số Trước tiêm Sau 3 lần tiêm p-value
Chiều cao tụt nướu 0.5 (0–1.5) 0.0 (0) 0.00002
Mất nhú nướu 1.0 (0.5–1.5) 0.0 (0) 0.00001
Độ dày mô nướu 0.1 (0.1–0.4) 0.7 (0.5–1.0) 0.000002

So sánh giữa 2 và 3 lần tiêm cho thấy:

  • Độ dày mô tiếp tục tăng (p = 0.000004)
  • Không có khác biệt rõ về mất nhú giữa lần tiêm 2 và 3 (p = 0.1)

4. Thảo luận

Trong y học, collagen có nhiều ứng dụng tiên tiến: vận chuyển thuốc, protein, hạt nano và làm nền nuôi cấy tế bào. Ngoài ra, collagen là chất kích thích sinh học và chất làm đầy hiệu quả. Những ứng dụng phổ biến là “miếng dán collagen” và “bọt collagen” giúp thúc đẩy lành thương nhờ cấu trúc tương thích cao và khung đỡ cho tế bào mới.

Collagen trong biomaterial phân hủy nhanh hơn collagen tự nhiên và giúp bảo vệ collagen nội sinh khỏi enzyme phân giải (MMPs). Các sản phẩm phân hủy của collagen còn kích thích nguyên bào sợi di chuyển và tăng sinh, đồng thời thúc đẩy hình thành mô hạt nhờ kích hoạt tế bào biểu mô và nội mô.

Collagen type I trong mô scaffold là nền lý tưởng cho:

  • Bám dính tế bào
  • Di cư tế bào
  • Biệt hóa tế bào

Bọt collagen được dùng phổ biến trong phẫu thuật nha khoa nhờ khả năng cầm máu, tương thích sinh học, được cơ thể chuyển hóa hoàn toàn không gây tác dụng phụ, giúp tạo cục máu ban đầu ổn định.

Các dạng collagen khác trong điều trị tái tạo nha chu gồm:

  • Màng collagen
  • Ma trận 3D collagen (như Mucoderm)

Một số nghiên cứu lâm sàng cho thấy, màng collagen cho hiệu quả tương đương mô ghép mô liên kết dưới biểu mô (CTG) trong điều trị tụt nướu. Tuy nhiên, meta-analysis chỉ ra rằng CTG vẫn cho kết quả dày mô tốt hơn, dù bề rộng nướu sừng hóa không khác biệt đáng kể.

Các thử nghiệm mô học tiền lâm sàng cho thấy:

  • Mô nướu dày hơn
  • Nướu sừng hóa nhiều hơn khi dùng các loại collagen như CM, BCT, HF-DDS, ADMG

Trong nghiên cứu này, chúng tôi dùng collagen dạng tiêm, có hiệu quả rõ rệt sau chỉ 2 lần tiêm:

  • Tụt nướu cải thiện
  • Nhú nướu tái tạo
  • Mô nướu dày lên đáng kể

Không có nghiên cứu nào tương tự hiện tại để so sánh trực tiếp.

Collagen sử dụng trong nghiên cứu là atelocollagen từ ngựa, dành cho da liễu thẩm mỹ.

Về đặc điểm sinh học vùng miệng:

  • Mô liên kết da khác niêm mạc nhai (nướu, khẩu cái): tổ chức lỏng lẻo, không bám xương → ổn định sinh học cao, giảm co kéo vết thương và giúp tế bào di chuyển nhanh hơn → lành nhanh hơn.
  • Các fibroblast vùng nướu có kiểu hình riêng, ảnh hưởng đến tốc độ lành thương. Chúng rất nhạy cảm với thay đổi từ chất nền, yếu tố tăng trưởng và cytokine. Sau tổn thương, chúng được kích hoạt, sản sinh chất nền ngoại bào, tạo mô hạt và tân tạo mạch máu.
  • Sự kết hợp giữa atelocollagen và FGF (fibroblast growth factor) cho kết quả tốt trong điều trị vết thương khó lành có khoang sâu.
  • Tỷ lệ collagen type I, III, V trong vật liệu tiêm ảnh hưởng đến tốc độ và chất lượng sợi collagen mới hình thành.
  • Các loại collagen từ bò và ngựa cho khả năng tăng sinh tế bào cao nhất. Collagen từ ngựa có cấu trúc lỏng lẻo, ít enzyme phân giải → ít kháng nguyên hơn.
  • Collagen cá có nhiệt độ biến tính thấp → không phù hợp lâm sàng, dù gần đây collagen type I từ vảy cá rô phi có cấu trúc ổn định ở 37°C, kích thích tế bào gốc trung mô tốt hơn collagen lợn.
  • Atelocollagen chiết xuất bằng pepsin loại bỏ đầu tận peptide – vùng kháng nguyên, giảm nguy cơ dị ứng → an toàn hơn.
  • Atelocollagen từng dùng từ thập niên 1970 trong y học tái tạo:
    • Dẫn truyền DNA/siRNA
    • Tái tạo sụn, xương, màng nhĩ
    • Kết hợp thuốc ức chế sẹo (mitomycin C)
    • Ghép nướu khe hở vòm miệng
    • Không gây kích ứng miễn dịch khi thử nghiệm trên PBMC người

Dạng monomer thường dùng trong mỹ phẩm, còn dạng polymer dùng cho scaffold nuôi cấy tế bào.

Hạn chế nghiên cứu:

  • Nhóm tiêm 3 lần (n = 37) nhỏ hơn nhóm tiêm 2 lần (n = 97)
  • Thời gian theo dõi ngắn (10 tuần)

Chỉ chọn tụt nướu ≤1 mm
→ Cần nghiên cứu quy mô và thời gian lớn hơn

5. Kết luận

Collagen hỗ trợ kết dính tiểu cầu → thúc đẩy đông máu tự nhiên. Nó điều hoà sinh lý da và niêm mạc qua tương tác với:

  • Hyaluronic acid
  • Protein nền men răng
  • Liên kết gian bào

Collagen dạng tiêm an toàn, tương thích sinh học cao, có khả năng kích thích tăng sinh nguyên bào sợi, từ đó cải thiện tình trạng mô nướu.

Atelocollagen dạng tiêm là vật liệu tiềm năng trong tái tạo mô mềm nướu, giúp giảm số lần can thiệp và hỗ trợ trong nhiều tình huống phẫu thuật.

Đây là nghiên cứu lâm sàng đầu tiên đánh giá hiệu quả của collagen dạng tiêm trong điều trị tụt nướu. Tất cả bệnh nhân được cùng một bác sĩ nha chu điều trị, theo một quy trình thống nhất.

Select the fields to be shown. Others will be hidden. Drag and drop to rearrange the order.
  • Image
  • SKU
  • Rating
  • Price
  • Stock
  • Availability
  • Add to cart
  • Description
  • Content
  • Weight
  • Dimensions
  • Additional information
Click outside to hide the comparison bar
Compare